Drs Alexia Lobo, Isabelle Soubiron et Camille Subra
Chirurgien-dentistes, Exercice limité à l’Orthodontie
Drs Alexia Lobo, Isabelle Soubiron et Camille Subra
Chirurgien-dentistes, Exercice limité à l’Orthodontie

Blog - Page 4

ARTICULATION TEMPORO-MANDIBULAIRE (ATM)

ARTICULATION TEMPORO-MANDIBULAIRE (ATM)

En plus des pieds, des yeux et des organes de l'équilibre l'étude des facteurs qui influencent la posture du corps passe par l'étrude de l'Articulation temporo-mandibulaire (ATM)

OCCLUSODONTIE ET ARTICULATIONS TEMPORO-MANDIBULAIRES

OCCLUSODONTIE ET ARTICULATIONS TEMPORO-MANDIBULAIRES

La mâchoire est l'articulation la plus sollicitée, il est donc important de bien l'entretenir.

L’OCCLUSION DENTAIRE

L’OCCLUSION DENTAIRE

L'occlusion dentaire est l'ensemble des contacts établis entre les dents du maxillaire (fixées au crâne) et les dents de la mandibule (qui est mobile).

ORTHODONTIE PRECOCE

ORTHODONTIE PRECOCE

-

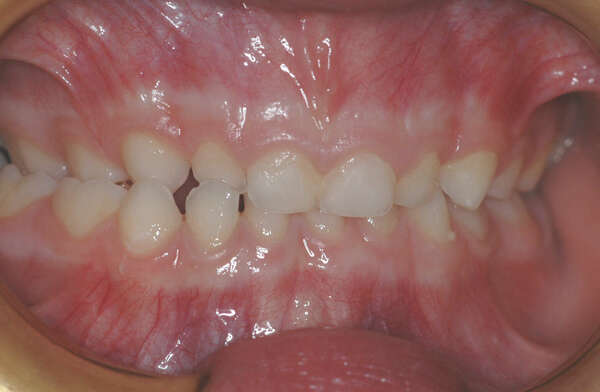
L’AGENESIE DENTAIRE

L’AGENESIE DENTAIRE

L’agénésie dentaire, ou absence de dent à la naissance, peut concerner toute la population. Il existe des formes légères avec l’absence de une à six dents et l’on parle alors d’oligodontie. Des formes plus sévères peuvent exister mais sont plus rares.

ALIGNEURS: LES DIFFERENTS TYPES DE TRAITEMENTS

ALIGNEURS: LES DIFFERENTS TYPES DE TRAITEMENTS

Le traitement par aligneurs invisibles est un traitement orthodontique basé sur le port successif d’une série de gouttières transparentes en plastique, fabriquées à partir des empreintes dentaires du patient.

ALIGNEURS INVISIBLES POUR ADOLESCENTS (TRAITEMENTS TEEN)

ALIGNEURS INVISIBLES POUR ADOLESCENTS (TRAITEMENTS TEEN)

Le traitement teen est un traitement destiné aux patients adolescents âgés de 11 à 19 ans environ.

UNE TECHNIQUE INVISIBLE : LES ALIGNEURS ORTHODONTIQUES

UNE TECHNIQUE INVISIBLE : LES ALIGNEURS ORTHODONTIQUES

La technique par Aligneurs est un traitement orthodontique basé sur le port successif d’une série de gouttières transparentes en plastique, fabriquées à partir des empreintes dentaires du patient.

BROSSE A DENTS MANUELLE OU BROSSE A DENTS ELECTRIQUE ?

BROSSE A DENTS MANUELLE OU BROSSE A DENTS ELECTRIQUE ?

Que l’on utilise une brosse à dents manuelle ou électrique, l’objectif est le même : éliminer efficacement la plaque dentaire. La santé de vos dents en dépend.

LES 10 REGLES D'OR D'UNE BONNE HYGIENE DENTAIRE

LES 10 REGLES D'OR D'UNE BONNE HYGIENE DENTAIRE

L’élimination de la plaque dentaire permet d'éviter les caries et les problèmes parodontaux. Des règles simples permettent d’assurer une bonne hygiène bucco-dentaire.

L'ORTHODONTIE FONCTIONNELLE : INDICATIONS ET TRAITEMENTS

L'ORTHODONTIE FONCTIONNELLE : INDICATIONS ET TRAITEMENTS

L’objectif de l’éducation fonctionnelle est de rétablir un équilibre au niveau du couloir dentaire situé entre lèvres, joues et langue et de favoriser ainsi une croissance faciale harmonieuse.

LES TRAITEMENTS DE 12 A 16 ANS

LES TRAITEMENTS DE 12 A 16 ANS

Selon la correction à effectuer il est proposé un appareil amovible, un traitement par multi-bagues ou une solution à l'aide de gouttières.

Affichage des articles 37-48 sur 151

Création par Webdentiste

Connexion

Bouton Flottant Appel Téléphonique Appel Téléphonique